FACHBEGRIFFE

Abdruck

Mit einer festwerdenden Masse werden die Zähne abgeformt. Mit Hilfe dieser Abformung können anschließend Gipsmodelle hergestellt werden.

Anfangsunterlagen/AU

Wir erstellen die notwendigen Fotos, Röntgenbilder und Abdrücke vor dem Beginn der Behandlung um die Therapie zu planen und bei der Krankenkasse zu beantragen.

ASR / approximale Schmelzreduktion / Stripping

Wenn Zähne sehr eng oder überlappend stehen, kann es hilfreich sein, die Oberfläche des Zahnes am Kontaktpunkt zu den Nachbarzähnen zu polieren, um ein Vorbeigleiten der Zähne zu erleichtern. In einzelnen Fällen kann durch mehrfaches Wiederholen dieses Vorgangs etwas mehr Platz für die Zähne geschaffen werden.

Bänder/Ringe

Bänder sind 0,1mm starke Metallringe mit aufgeschweißten Halteelementen für die Aufnahme eines Bogens.

Bebänderung/ Beb. Termin

Die feste Zahnspange wird eingebracht. Dazu wird die Oberfläche der Zähne gereinigt, vorbehandelt und anschließend die Brackets einzeln aufgeklebt. Auf die großen Backenzähne werden individuell angepasste Bänder geklebt. Als letzter Schritt wird ein Drahtbogen eingesetzt, der die Brackets und Bänder miteinander verbindet.

Bogen

Durch Brackets und Bänder verlaufender Draht. Er wird in unterschiedlichen Metallen, Querschnitten, Formen und Dimensionen angeboten.

Brackets

Brackets sind Bestandteile einer festsitzenden Spange. Sie werden nach einer Behandlung der Zahnoberfläche auf die Zähne geklebt und dienen zur Befestigung des Bogens. Brackets können aus Metall oder Keramik bestehen.

Bracketumfeldversiegelung

Die größte Gefahr für Schäden an den Zähnen während der Behandlung mit einer festen Zahnspange besteht im direkten Umfeld der Brackets. Man kann der Gefahr der Schmelzschädigung vorbeugen, indem man diesen Bereich mit einem Speziallack versiegelt dessen Schutzwirkung bis zu einem Jahr vorhält.

Festsitzende Spange

Besteht aus Bogen, Brackets, Bändern und Ligaturen. Die Zähne werden mit Brackets beklebt, die erst am Behandlungsende wieder entfernt werden, daher die Bezeichnung „festsitzend“.

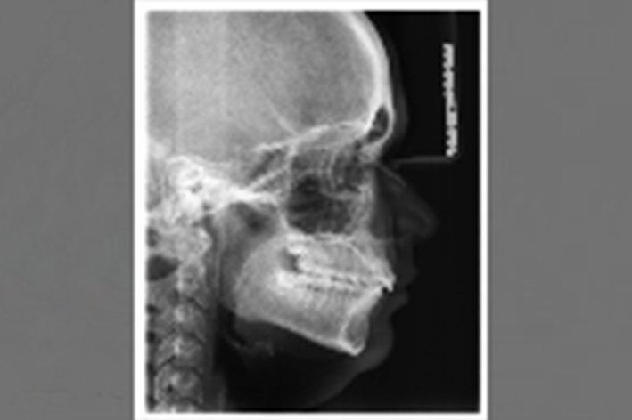
FRS

Abkürzung für Fernröntgenseitenaufnahme. Es handelt sich um eine Röntgenaufnahme des gesamten Schädels, deren anschließende Vermessung diagnostische Hinweise auf das Wachstumsmuster und die Lage der Kiefer zueinander gibt.

GNE

Abkürzung für Gaumennahterweiterungsapparatur. Dieses Gerät dient zur Dehnung des Oberkiefers und besteht aus einer Spezialschraube, die mit Hilfe von vier Ankerbändern an den Zähnen befestigt wird.

Handröntgen

wird auch Handwurzelaufnahme (HWA) genannt. Dieses Röntgenbild dient zur Bestimmung des skelettalen Alters und liefert somit Informationen über das zu erwartende Wachstum.

Herausnehmbare Spange

Dieses Gerät besteht aus Kunststoff und verschiedensten Drahtelementen. Sie wird vom Patienten selbst eingesetzt und herausgenommen, deshalb ist der Behandlungserfolg stark von der Mitarbeit der Patienten abhängig.

Langzeitkleberetainer

Dünne, zum Teil verseilte Drähte werden mit speziellen Kunststoff an der Innenseite der Zähne fixiert und somit das Behandlungsergebnis stabilisiert.„festsitzend“.

Ligatur

Ligaturen können aus Draht oder hochelastischem, synthetischen Material bestehen. Sie dienen zur Befestigung des Bogens in den Brackets.

Modell

Gipsmodelle sind Duplikate der individuellen Kiefer und Zahnstellung. Sie sind für die kieferorthopädische Diagnostik und Therapie unverzichtbar. Modelle werden zur Befunderhebung, Dokumentation, Behandlungs- sowie Apparateplanung und Geräteherstellung angefertigt.

Orthopantomogramm

Es dient zur Ermittlung der Zahnzahl sowie Lage, Mineralisation, Form und Größe der Zahnkeime und Wurzeln.

Retentionsplatten

Herausnehmbare Geräte ohne aktive Elemente zum Stabilisieren des Behandlungsergebnisses.

Rezidiv

Unter einem Rezidiv wird ein Rückfall in Richtung der ursprünglichen Zahnstellung nach Abschluss einer kieferorthopädischen Behandlung verstanden.

Separieren / Sep. Termin

Bevor an den Backenzähnen die Bänder angepasst und eingesetzt werden können, muss vorübergehend ein kleiner Abstand zu den Nachbarzähnen geschaffen werden. Dafür wird an einem separaten Termin 2-4 Tage vorher ein kleiner Gummiring in den Zahnzwischenraum geklemmt, der die Zähne ganz leicht voneinander weg bewegt.